生死竞速创奇迹 锦旗致谢暖人心——我院成功救治重症鹦鹉热肺炎(大白肺)合并多器官功能障碍患者
发布时间:今天 14:48 浏览:16次
近日,一面鲜红的锦旗被患者家属专程送到我院重症医学科,锦旗背后是一场与死神赛跑的艰难博弈——ICU医护团队凭借精湛技术与日夜坚守,成功从生死边缘挽回了63 岁重症患者的生命,这面锦旗既是家属满心感激的见证,更是对科室危重症救治实力的高度认可。

3月31日肺部CT
ICU护士接到呼吸与危重症电话急会诊并通知刘东海主治医师,刘东海医师迅速到达16楼,查看病人,端坐位,面色潮红,呼吸非常窘迫,心电监护示:心率156bpm,RR40bpm,指脉氧70%(面罩),听诊左肺呼吸音微弱,查阅肺部影像学左肺大片实变,高热,炎症指标高,肝功能异常,低蛋白血症,凝血功能异常,氧分压及氧合指数极差。 结合临床征象,影像学及检验考虑中度ARDS,重症肺炎,合并多器官功能障碍,并与家属(儿子)告知病情,短期内左肺不明原因大白肺,需详细一边检查一边治疗,建议立即转重症医学科进一步抢救诊治。

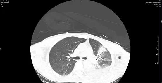
4月12日复查肺部CT
入科后,在科主任孟磊牵头指导下,团队迅速制定个体化诊疗方案,立即予气管插管有创机械通气,累计机械通气9天。严重休克,血管活性药物维持血压,纤支镜吸痰肺泡灌洗术及肺复张术,且留取肺泡灌洗液NGS监测,次日肺泡灌洗液NGS示:鹦鹉热衣原体,据结果立即调整抗感染方案,俯卧位通气7天。面对罕见病原体与多器官衰竭双重难关,重症医学科团队精准研判,制定个体化救治方案:实施肺保护性通气策略、精细化俯卧位通气管理、针对性抗感染、器官支持与抗炎护脏综合治疗,24小时不间断监护,全力守护生命防线。
历经日夜坚守与科学施治,患者感染逐步控制,氧合显著改善,器官功能稳步恢复,成功脱离呼吸机、脱离危险,循序渐进,无创通气更换为经鼻高流量氧疗,每日管床医生与护士协助患者床旁坐位,吹气球,并鼓励患者有信心,有毅力,赶走病魔,适宜锻炼,促进康复。呼吸及循环稳定后,患者转危为安,转普通病房继续巩固治疗。

一面锦旗,一份信任,一份担当。此次成功救治,充分展现了ICU在危重症患者,救治领域的专业能力与责任担当。为危重症患者筑牢生命屏障。
—END— 监制:吴超 吴帅 信息来源:重症医学科 刘东海 编辑:宣传部
[ 转载请注明出处 ]





